Prótesis hibrida

Especialistas en
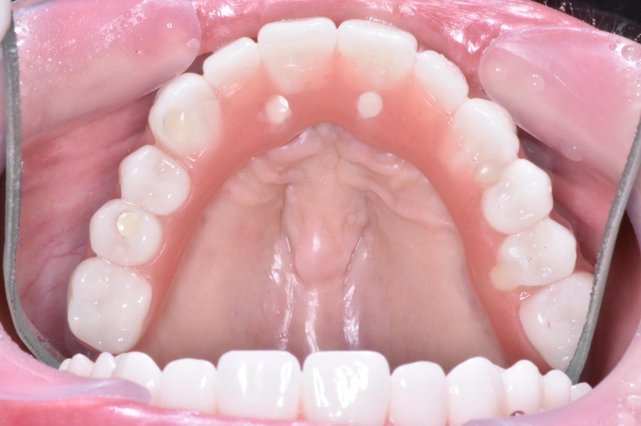
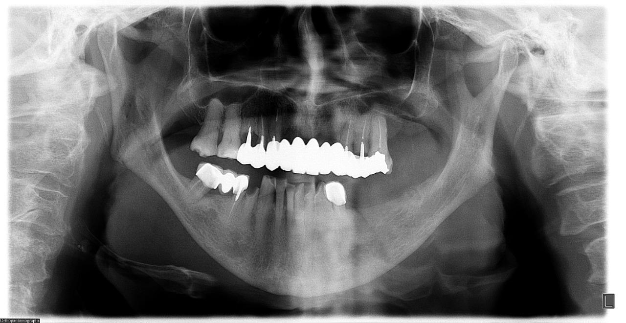
Prótesis híbrida
Son prótesis sin paladar que va fija a unos implantes, por lo tanto no es removible. Es el tratamiento perfecto para pacientes que están cansados de tener prótesis totales, donde no pueden tener buena masticación y degustación de los alimentos.